Table of Contents
Table of Contents
Table of Contents

Previous Case:
Case 141: Thymic Mass Biopsy, Seeding Issues, etc
Suspected thymic mass biopsies are safe and simple and seeding is not an issue.

Current Case:
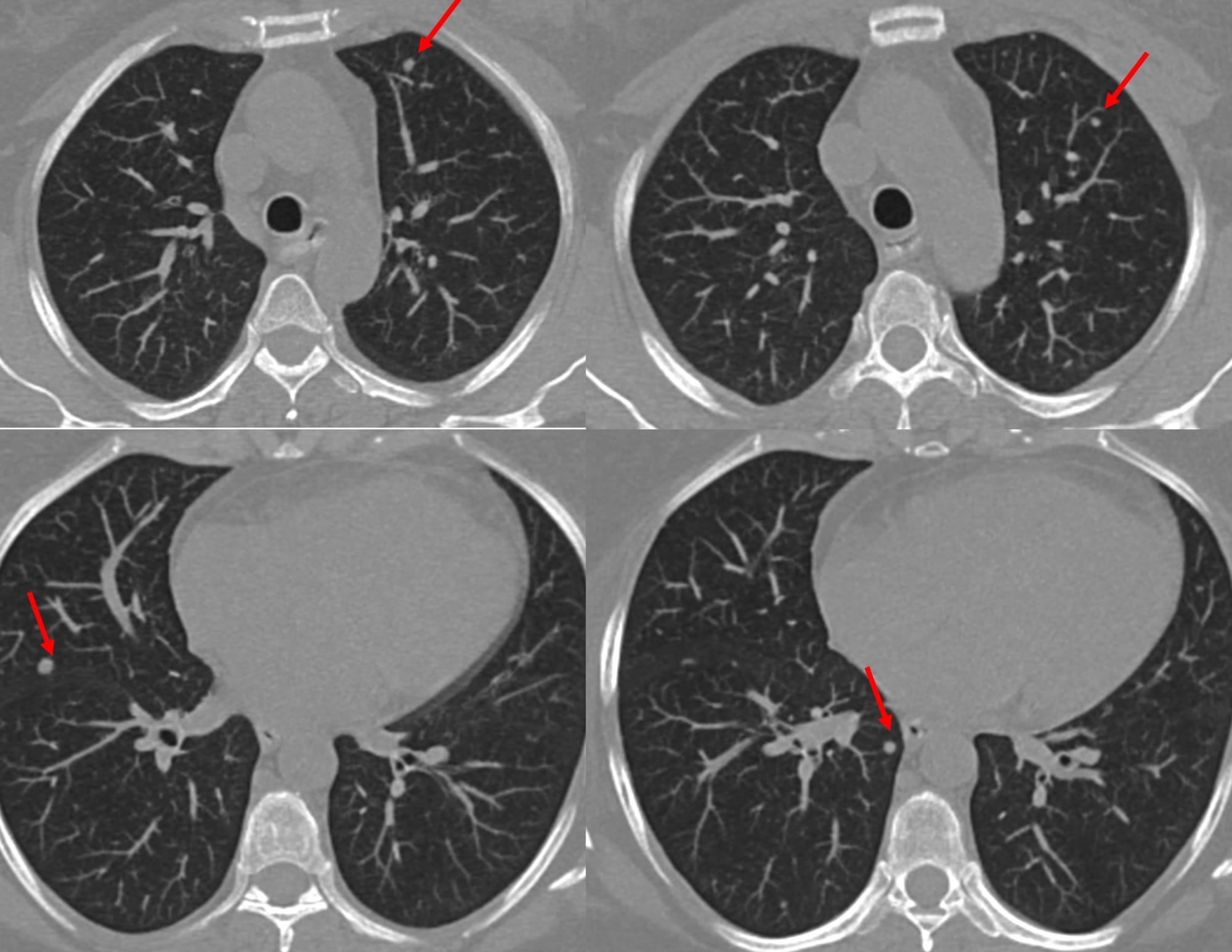
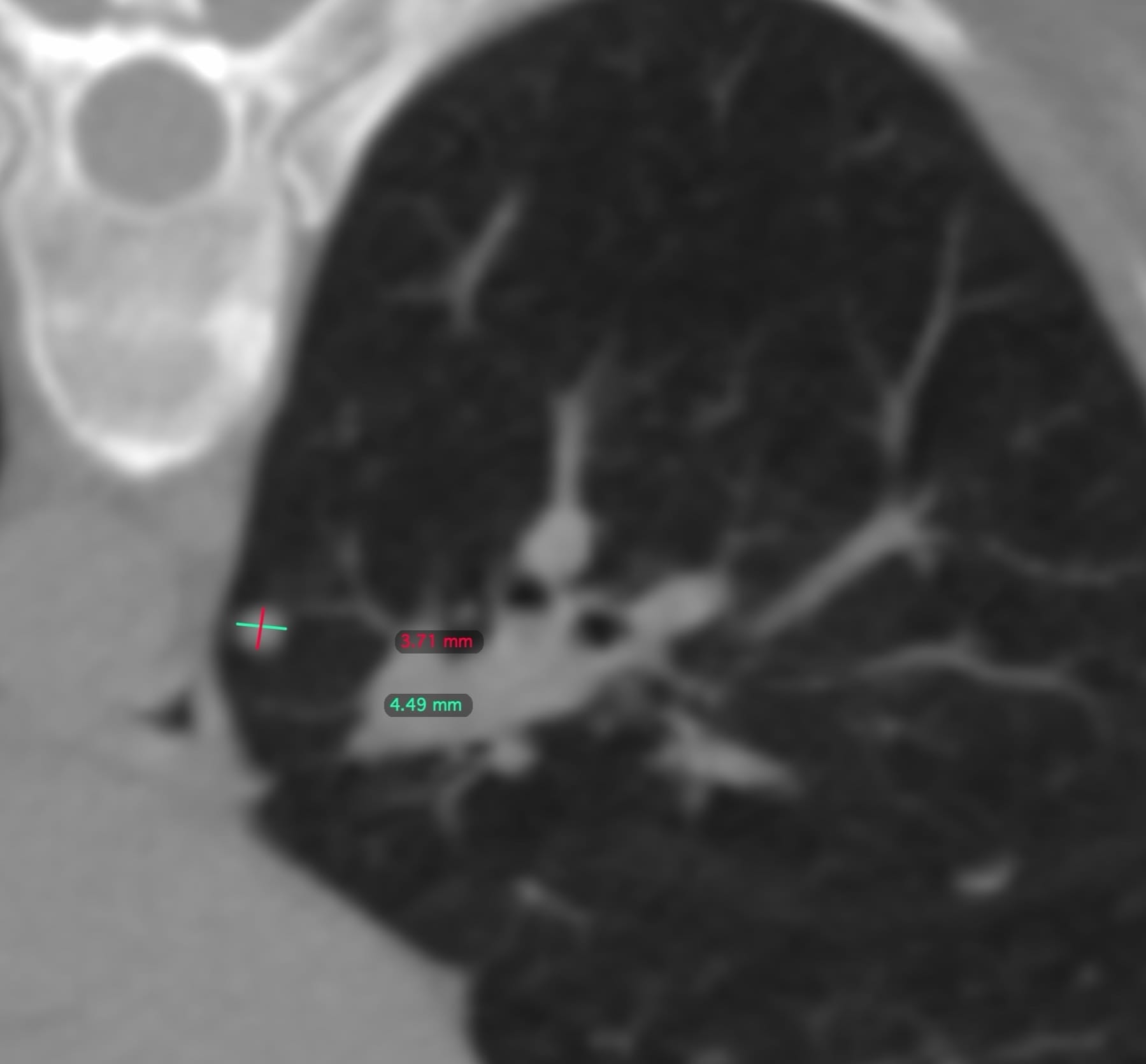
A 55-years old, recently diagnosed to have carcinoma breast, was found to have multiple < 5 mm sized lung nodules on a staging PET/CT.

She was referred for a CT guided biopsy. The left lower lobe nodule seemed to be the simplest to approach in the prone position.

The video discusses the case, the approach to this nodule, other similar nodules and basic principles of performing biopsies in sub 5 mm lung nodules.

